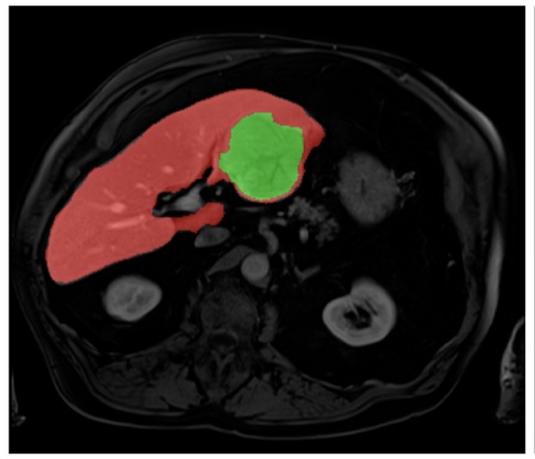
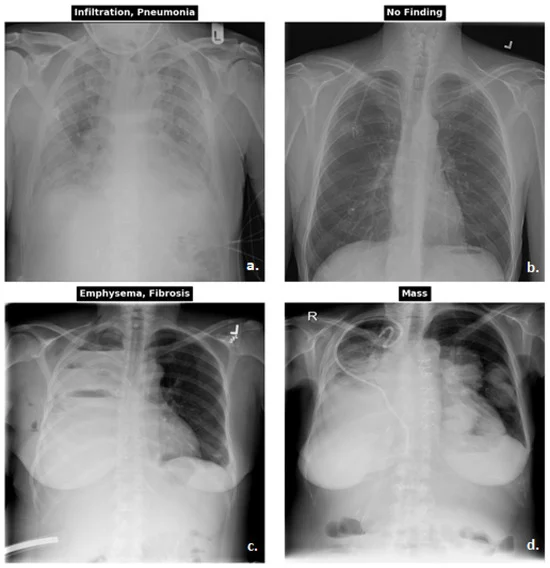
The VISTA (Vision, Intelligence and Secure Technology Applications) Lab is a research laboratory established at Gazi University. Our research focuses on the intersection of deep learning, computer vision and cyber security. We are dedicated to developing robust, reliable and secure artificial intelligence solutions for critical real-world challenges.
Join us: If you are interested in research opportunities with Vista Lab, please complete this application survey.







Follow our latest news, research updates and technical notes on our blog page.
Go to Blog →
Vista Lab
Gazi University, Fac. of Engineering
Dept. of Electrical and Electronics Engineering
06570 Maltepe, Ankara / TURKEY
Email: vista@gazi.edu.tr